Γράφει ο Δημήτρης Κατσιφαράκης
Ο υπουργός της Υγείας κ. Κουρουμπλής δήλωσε πρόσφατα ότι επεξεργάζεται σχέδιο σύμφωνα με το οποίο θα θεσπιστούν διαγνωστικές εξετάσεις σχετικές με την πρώιμη ανίχνευση 4 μορφών καρκίνου. Οι πολίτες (σύμφωνα με τον κ. υπουργό ) θα πρέπει να υφίστανται τις εξετάσεις, περιοδικά. Ως ποινή για τους πολίτες που δεν θα έχουν υποστεί τις συγκεκριμένες εξετάσεις , και εφόσον αυτοί αρρωστήσουν από τα νοσήματα που οι εξετάσεις αυτές προσπαθούν να ανιχνεύσουν οι άρρωστοι θα πρέπει (ως ποινή) να καλύψουν το 50% του κόστους της θεραπείας τους.
Οι περισσότεροι άνθρωποι γνωρίζουν πώς να δώσουν τις πρώτες βοήθειες σε έναν ενήλικα, τι γίνεται όμως όταν αυτός που έχει την ανάγκη μας είναι κάποιος μικρότερης ηλικίας; Όπως ένα νήπιο ή ένα μωρό;
Στο πλαίσιο των προγραμμάτων πρόληψης ενημέρωσης και υγείας, το Τμήμα του Ερυθρού Σταυρού Λήμνου ενημερώνει τους πολίτες, εκλαϊκεύοντας ορισμένες απλές αλλά σημαντικές γνώσεις, τις οποίες πρέπει να έχουν οι πολίτες για την πρόληψη, τις κλινικές εκδηλώσεις και την αντιμετώπιση του καύσωνα ώστε να προασπίζουν την υγεία τους.
Γράφει ο Ραϊσάκης Βασίλειος – Μάριος, Στρατιωτικός Χειρουργός Οδοντίατρος Αριστοτέλειο Πανεπιστήμιο Θεσσαλονίκης
Τα σαββατοκύριακα του καλοκαιριού στην παραλία, τα μπάρμπεκιου στην πίσω αυλή καθώς και υπαίθρια δείπνα είναι επιτέλους εδώ. Αυτές οι συναθροίσεις όμως συχνά μας φορτώνουν με υψηλής θερμιδικής αξίας ζυμαρικά, τσιπς, παγωτά και κοκτέιλ.
Γράφει ο Κυριακίδης Σταμάτιος, Π.Ε. Περιβαλλοντολόγος - Ωκεανογράφος
Ο λαγοκέφαλος µε την επιστημονική ονομασία Lagocephalus sceleratus προέρχεται από την Ερυθρά Θάλασσα όπου µέσω της διώρυγας του Σουέζ εισήλθε στη Μεσόγειο.
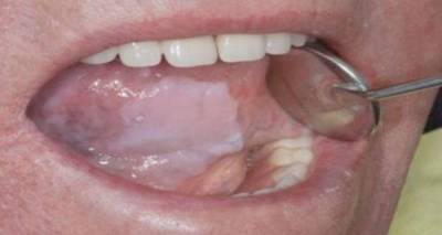
Γράφει ο Στρατιωτικός Χειρουργός Οδοντίατρος Ραϊσάκης Βασίλειος – Μάριος
Χιλιάδες Έλληνες πάσχουν σήμερα από λευκοπλακία, μια νόσο που εμφανίζεται κυρίως σε καπνιστές με τη μορφή μιας λευκής πλάκας, όπως μαρτυρά και η ονομασία της, στο βλεννογόνο του στόματος.
Μια νέα φαρμακευτική αγωγή έρχεται στη μάχη της καταπολέμησης του καρκίνου. Η ανοσοθεραπεία δείχνει εντυπωσιακά αποτελέσματα μέχρι στιγμής και οι ειδικοί αισιοδοξούν ότι με σκληρή δουλειά την επόμενη 5ετία θα μπορεί να αντικαταστήσει τις χημειοθεραπείες.
Ας το ξαναθυμηθούμε όλοι καπνιστές και μη καπνιστές
Μικροί και μεγάλοι
Γράφει ο Θεόδωρος Ι. Μπαβέας
Γράφει ο Ιωάννης Τενέδιος, Κτηνίατρος
Η εξάπλωση της οζώδους δερματίτιδας (Lumpy Skin Disease, Knopvelsiekte) στη γειτονική Τουρκία και ο ορατός πλέον κίνδυνος εισόδου της στην Ευρώπη, ήταν θέμα στην έκτακτη συνάντηση της 6ης Μαρτίου 2015, Ελλήνων και ξένων κτηνιάτρων, που έλαβε χώρα στην Αλεξανδρούπολη.


Φιλοξενία ιστοσελίδας Operon