Αυτή εμφανίζεται καλά «στερεωμένη» και άλλοτε εμφανίζεται ασυμπτωματική και άλλοτε με συνύπαρξη θορυβώδων συμπτωμάτων.
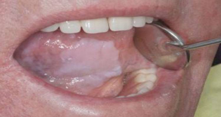
Τι είναι η λευκοπλακία;
Είναι μια προκαρκινική βλάβη που εμφανίζεται στο βλεννογόνο του στόματος με τη μορφή λευκής πλάκας. Η πλάκα αυτή είναι προσκολλημένη πάνω στον βλεννογόνο του στόματος. Μελέτες που έχουν γίνει έχουν δείξει ότι το 85-90% των πασχόντων είναι μανιώδεις καπνιστές (ένα έως τρία πακέτα την ημέρα) τουλάχιστον μια δεκαετία και με ελλιπή στοματική υγιεινή.
Πόσο συχνή είναι;
Παρουσιάζει συχνότητα 2-3% του ενήλικου γενικού πληθυσμού με ηλικίες να κυμαίνονται μεταξύ 40-50 ετών ενώ δεν παρατηρείται διαφορά στα δύο φύλλα.
Ποιοι είναι οι παράγοντες κινδύνου για την εμφάνισή της;
Εκτός από το κάπνισμα, σημαντικός προδιαθεσικός παράγοντας είναι η κατανάλωση αλκοόλ ιδίως όταν συνδυάζεται με κάπνισμα. Επίσης χρόνιοι τραυματισμοί από κακότεχνες προσθετικές εργασίες, η έκθεση σε ορισμένους παθογόνους μικροοργανισμούς όπως η Candida Albicans ο HPV, όπως και ορισμένοι γενετικοί και διατροφικοί παράγοντες.
Είναι επικίνδυνη;
Η λευκοπλακία είναι προκαρκινική κατάσταση, γεγονός που σημαίνει ότι αν δεν αντιμετωπιστεί εγκαίρως υπάρχει κίνδυνος να εξελιχθεί σε καρκίνο. Οι πιθανότητες διαφέρουν ανάλογα με το σημείο του στόματος όπου αναπτύσσεται η βλάβη. Έτσι έχουμε περιοχές «υψηλού κινδύνου», όπως το έδαφος του στόματος και η γλώσσα με πιθανότητες κακοήθους εξαλλαγής 15-20% και «χαμηλού κινδύνου», όπως τα ούλα με πιθανότητες 5-6%.
Πώς μπορεί να προσδιοριστεί ο κίνδυνος εξαλλαγής;
Με βάση κυρίως τρεις παραμέτρους: Η πρώτη είναι η κλινική μορφή της βλάβης. Ο οδοντίατρος ελέγχει για αιμορραγία, διαβρώσεις ή ανώμαλα όρια, αν είναι σκληρή στην επιφάνεια της, αν αποκολλάται κτλ. Η δεύτερη είναι με λήψη τεμαχίου για βιοψία, ώστε να ελεγχθεί με το μικροσκόπιο η κακοήθεια ή μη της δομή των ιστών. Η τρίτη είναι με την ανίχνευση του αντιγόνου p-53 που εμφανίζεται σε μεγάλες ποσότητες σε περιπτώσεις που έχει ξεκινήσει η κακοήθης εξαλλαγή,κάτι που μπορεί να μην δείχνει ακόμη η βιοψία.
Πώς αντιμετωπίζεται;
Η θεραπεία συνιστάται κυρίως στη χειρουργική αφαίρεση της πλάκας, με μια διαδικασία απλή με χρήση τοπικής αναισθησίας στο χώρο του ιατρείου. Εάν η αφαίρεση γίνει σωστά ο κίνδυνος εξαλλαγής μηδενίζεται εφόσον εκλείψουν και οι προδιαθεσικοί παράγοντες. Αν όμως συνεχιστεί το κάπνισμα, υπάρχουν πάνω από 30% πιθανότητες επανεμφάνισης της λευκής πλάκας και η εξέλιξή της σε καρκίνο. Θα πρέπει να θεωρήσουμε μείζονος σημασία την τήρηση καλής στοματικής υγιεινής, την διόρθωση τραυματικών παραγόντων μέσα στο στόμα και τέλος την παρακολούθηση (κάθε 4 έως 6 μήνες) του ασθενούς. Σε σπάνιες περιπτώσεις χορηγούνται αντικαρκινικά φάρμακα.

























