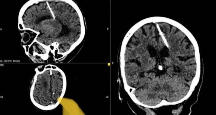
Όπως ανέφερε σε ανάρτησή του στο Telegram το υπουργείο Υγείας της Περιφέρειας της Σαχαλίνης, που βρίσκεται απέναντι από την ανατολική ακτή της Ρωσίας και βόρεια της Ιαπωνίας, ακτινολόγοι ανακάλυψαν τη βελόνα σε ακτινογραφία του εγκεφάλου της γυναίκας εντός του έτους.
Η βελόνα βρέθηκε στον αριστερό βρεγματικό λοβό της γυναίκας που δεν κατονομάζεται, σύμφωνα με το υπουργείο.
Oι γονείς της 80χρονης προσπάθησαν να τη σκοτώσουν όταν ήταν μωρό
Οι αξιωματούχοι είπαν ότι η βελόνα βρισκόταν στον εγκέφαλό της από τη στιγμή της γέννησής της και οι γιατροί πιστεύουν ότι οι γονείς της προσπάθησαν να τη σκοτώσουν όταν ήταν βρέφος.
Σε περιόδους πολέμου, κάποιοι απελπισμένοι γονείς έμπηγαν μια βελόνα σε ένα μαλακό σημείο του κεφαλιού ενός νεογέννητου, όπου τα οστά στο κρανίο δεν είχαν ακόμη ενωθεί, έγραψε το υπουργείο. Αυτό το σημείο θα έκλεινε και θα έκρυβε τη βελόνα, αν και το βρέφος θα πέθαινε, ανέφερε. «Τέτοιες περιπτώσεις δεν ήταν σπάνιες στα χρόνια της μεγάλης πείνας», πρόσθεσε το υπουργείο.
H 80χρονη γυναίκα πιθανότατα γεννήθηκε γύρω στο 1943, αλλά επέζησε από την απόπειρα βρεφοκτονίας και δεν υπέφερε ποτέ από πονοκεφάλους από τη βελόνα, σύμφωνα με το υπουργείο Υγείας της Σαχαλίνης.
Οι γιατροί είπαν ότι δεν θα αφαιρέσουν τη βελόνα, φοβούμενοι μήπως με τη χειρουργική επέμβαση επιδεινωθεί η κατάστασή της. Η 80χρονη παρακολουθείται από γιατρό και η υγεία της δεν κινδυνεύει, προστίθεται στην ανακοίνωση του υπουργείου.
Η Σαχαλίνη, ένα νησί με περίπου 500.000 κατοίκους , βρίσκεται στη Θάλασσα του Οχότσκ, ακριβώς βόρεια του Χοκάιντο της Ιαπωνίας. Στις αρχές του 20ου αιώνα ΕΣΣΔ και Ιαπωνική Αυτοκρατορία μοιράστηκαν τον έλεγχο του νησιού, αλλά η Ρωσία το κατέκτησε εξ’ ολοκλήρου στη διάρκεια του Β' Παγκοσμίου Πολέμου.
Πηγή: iefimerida.gr


























