Βρίσκεστε εδώ:Αρχική>>Διεθνή

Διεθνή

08.10.2023 | 09:58

Η λιβανέζικη οργάνωση Χεζμπολάχ και ο στρατός του Ισραήλ αντάλλαξαν πυρά κατά μήκος των νότιων συνόρων του Λιβάνου σήμερα το πρωί, πυροδοτώντας ανησυχίες για μια ευρύτερη περιφερειακή σύγκρουση.

07.10.2023 | 11:24

Η ισλαμιστική οργάνωση Χαμάς εξαπέλυσε σήμερα τη μεγαλύτερη επίθεση κατά του Ισραήλ εδώ και χρόνια, σε μια αιφνιδιαστική κίνηση με ενόπλους να διασχίζουν τα σύνορα και ομοβροντία ρουκετών να εκτοξεύεται σε διάφορα σημεία (ακόμα και στο Τελ Αβίβ) από τη Λωρίδα της Γάζας.

07.10.2023 | 08:13

Είναι παντού: στα νοσοκομεία, τα μέσα μεταφοράς, τα σινεμά... Μα τι συμβαίνει στην Γαλλία με τους κοριούς; Εδώ και λίγες ημέρες, τα μικροσκοπικά έντομα έχουν καταφέρει να σπείρουν τον πανικό και να θέσουν σε συναγερμό την γαλλική κυβέρνηση.

 

 

06.10.2023 | 08:44

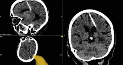
Μια βελόνα μήκους τριών εκατοστών ανακάλυψαν οι γιατροί στον εγκέφαλο μιας 80χρονης γυναίκας στη Ρωσία.

05.10.2023 | 08:51

Ένα ατύχημα σοκ έλαβε χώρα στην Ιταλία στο λιμάνι του Σαλέρνο όταν ένα 8χρονο αγοράκι έπσε στο κενό μεταξύ κρουαζιερόπλοιου και αποβάθρας στο λιμάνι.

04.10.2023 | 14:39

Γράφει ο Βύρων Καρύδης 

Ο πρωθυπουργός Ρίσι Σουνάκ δήλωσε ότι δεν θα "αναγκαστεί να λάβει μια πρόωρη απόφαση" σχετικά με το μέλλον της HS2.

04.10.2023 | 08:54

Τραγωδία με τουλάχιστον 21 νεκρούς, ανάμεσά τους 2 παιδιά, και 15 τραυματίες, εκ των οποίων οι 5 σε σοβαρή κατάσταση, σημειώθηκε χθες το βράδυ της Τρίτης στο Μέστρε της Ιταλίας, λίγα χιλιόμετρα έξω από τη Βενετία, όταν λεωφορείο έπεσε από γέφυρα.

03.10.2023 | 09:48

Γράφει ο Βύρων Καρύδης 

Οι διευθυντές σχολείων στην Αγγλία θα κληθούν να απαγορεύσουν στους μαθητές να χρησιμοποιούν κινητά τηλέφωνα καθ' όλη τη διάρκεια της σχολικής ημέρας, σύμφωνα με νέες κυβερνητικές οδηγίες.

03.10.2023 | 09:18

Τον κώδωνα του κινδύνου έκρουσε Τούρκος ιστορικός για την Αγία Σοφία.

02.10.2023 | 12:49

Γράφει ο Βύρων Καρύδης 

Με την έναρξη του ετήσιου συνεδρίου του κυβερνώντος κόμματος χθες στο Μάντσεστερ,   ο πρωθυπουργός και ηγέτης των Τόρις Ρίσι Σούνακ, σύμφωνα με όλες τις ενδείξεις, ενδέχεται να αντιμετωπίσει μια μεγάλη εξέγερση μερίδας βουλευτών της συμπολίτευσης για τη φορολογική πολιτική με επικεφαλής την πρώην πρωθυπουργό Λιζ Τρας.

pantelaroudis

stenos pccom

greek radios

 

 

youtube channel